Cases // Before & Afters
See What’s Possible
From everyday repairs to life-changing transformations, see how advanced dental care brings smiles back to life.
Every image is a testament to this simple truth: transformation begins the moment you choose it.
The only question left is: will you choose it?
Before
After
After
After
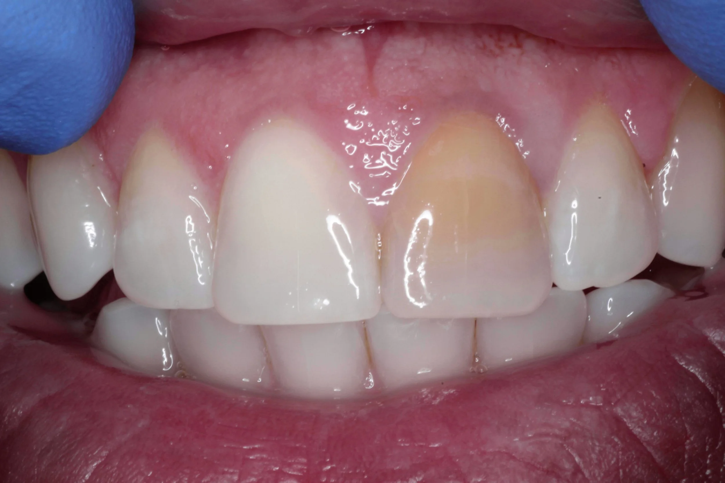
Root canal and bleaching
Relieving pain, restoring health, and bringing brightness back
After
Smile makeover
A complete transformation – confidence restored from every angle.
After
Replacement of bridge
A stronger foundation for a natural, lasting smile
After
After
Crowns for lower worn teeth
Turning years of wear into strength and stability
Before & After Cases
Behind every photo is a person who discovered that it’s never too late to begin again.
Crown and bridge smile makeover/tooth replacement Rebuilding what was lost to reveal strength and beauty again
Before
Veneers
Subtle artistry reshaping the smile and restoring confidence
Before
Before
Before
Before
Replacement of bonding
Small fixes with big impact
Before
Ready to See Your Own Before and After?
You’ve seen what’s possible. The next smile we transform could be yours.
